Pay Online

Experience Comfortable, Efficient Care with Advanced Technology
Maegan Elam, DDS & Associates believe in making dental care as comfortable and effective as possible, and our Bedford, TX team is able to pursue this goal with the help of state-of-the-art technology. By investing in tools that improve the precision and speed of services, we’re able to provide vital services in a much simpler fashion, allowing you more time for the things that matter most in life. We’d love to welcome your entire family!
Our available technology includes the following:

Caries Detection
Our caries detection device allows us to diagnose and manage areas of decay at the earliest possible stages. In some cases, we can even successfully treat the area with preventive intervention.

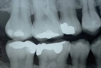
Digital Bitewings
Digital bitewings help us capture detailed images of the upper and lower teeth in a specific area of the mouth. They are particularly useful for detecting decay between teeth, assessing bone health for signs of gum disease, and evaluating the fit of dental crowns. Although some patients may have unpleasant memories of traditional intraoral bitewings, we prioritize patient comfort and use the latest technology to make the process as comfortable as possible.

Panoramic X-rays
Panoramic radiography allows us to capture the entire mouth in a single image, including the teeth, both upper and lower jaws, and any surrounding structures or tissues. We commonly use this machine to learn crucial information about the positions of certain teeth, irregularities in the gum and bone, and as a planning tool for full and partial dentures and implants.

Medit i500 Scanner
The Medit i500 scanner provides high-resolution digital impressions with speed and accuracy, capturing detailed 3D images of teeth and gums. We use it to design crowns, bridges, aligners, and other dental prosthetics, ensuring a perfect fit and enhancing patient comfort. Our revolutionary soft tissue laser allows our team to treat periodontal disease more precisely and effectively than ever before. The area is instantly sterilized as well during the procedure, which minimizes bleeding and eliminates the need for messy sutures.
Make Maegan Elam, DDS & Associates Your Dental Home in Bedford, TX
We hope that you and your loved ones will choose to make Maegan Elam, DDS & Associates your new oral healthcare home. Contact our Bedford, TX location today if you have any questions for our staff or if you’d like to schedule your first appointment. We also serve the areas of Colleyville, Hurst, Euless, and beyond.